●영국사랑 공식 협력병원, 연세굿데이치과● 잇몸퇴축, 아랫니 부분교정 치료전후 – 30대 여성, 치주교정 > 서비스광고

본문 바로가기

 <  구인구직  <  서비스광고

●영국사랑 공식 협력병원, 연세굿데이치과● 잇몸퇴축, 아랫니 부분교정 치료전후 – 30대 여성, 치주교정

페이지 정보

작성자 no_profile 연세굿데이치과 쪽지보내기 메일보내기 자기소개 아이디로 검색 전체게시물  (14.♡.235.230) 댓글 0건 조회 16회 작성일 25-10-21 14:26

본문

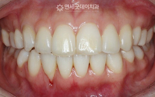
잇몸퇴축을 주소로 내원해주신 30대 여성 환자분이십니다.

환자분은 오래 전 교정했던 치과가 폐업하면서
교정 유지관리가 미흡해지고
이러한 이유로 치근 위치가 이동하여
잇몸 밖으로 돌출되어 있는 상태였습니다.

이러한 경우 치주교정을 통해
치아를 올바른 위치로
재배열 시켜줌으로써
잇몸퇴축을 개선할 수 있는데요.
 
‘치아를 살리는 잇몸교정’ 치주교정 Options
▶ Option① 아랫니 부분교정 이후 핀홀 + 엠도게인
▶ Option② i-GBR + Pontic

환자분께 2가지 옵션을 제안드렸으며
옵션①을 적용하여 근본적인 문제였던
치아를 재배열하고 잇몸퇴축을 개선하는 치료계획을 수립했습니다.

아랫니 부분교정으로
치아배열을 개선하는 과정을 거쳤고
치아가 잇몸뼈 안으로 올바르게 위치하면서
치근 주변으로 잇몸이 점차 차오르는 게 관찰되었습니다.

약 10개월 간의 치주교정이 종결되었으며,
단순한 심미 개선 뿐만이 아니라
치아와 잇몸의 기능적 안정성이 확보되었습니다.

※ 환자분은 추후 치주과와 협력하여
핀홀 수술을 통해 잇몸퇴축 부위를
더욱 두툼하게 보강할 예정입니다.

잇몸이 불안정한 상태에서
무리한 교정을 진행하게 되면
치아뿌리가 흡수되거나 잇몸퇴축 등
다양한 문제가 동반될 가능성이 높습니다.
 

연세굿데이치과는 교정과 – 치주과가 협력진료하여
내 치아를 오랜기간 사용하실 수 있도록
적합한 치주교정 옵션을 제안드리고 있습니다.

올해 웨딩촬영을 앞두고 걱정이 크셨을텐데
치료 받으시느라 고생 많으셨습니다. ^^
 

※ 모든 사진은 환자 본인의 동의를 얻어 동일조건에서 촬영하였으며
개인의 차이에 따라 치료 후 부작용이 발생할 수 있으므로 전문의와 충분한 상담이 필요합니다.

※ 치료전후 촬영시기
(전) 2024년 10월 (후) 2025년 8월

---------------------------------

▶ 홈페이지 : https://www.gooddaysmile.com/
▶ 카톡상담 : http://pf.kakao.com/_xmxlhaxb/chat
비추천0
  • 트위터로 보내기
  • 페이스북으로 보내기

댓글목록

등록된 댓글이 없습니다.

Total 7,111건 1 페이지
서비스광고 목록
번호 제목 글쓴이 조회 날짜
공지 운영자 쪽지보내기 메일보내기 홈페이지 자기소개 아이디로 검색 전체게시물 2136 2024-04-17
7110 no_profile KIB보험 쪽지보내기 메일보내기 자기소개 아이디로 검색 전체게시물 0 2025-10-21
7109 no_profile DUXGLOBALSERVIC… 쪽지보내기 메일보내기 홈페이지 자기소개 아이디로 검색 전체게시물 2 2025-10-21
7108 no_profile optimal1 쪽지보내기 메일보내기 홈페이지 자기소개 아이디로 검색 전체게시물 3 2025-10-21
7107 no_profile 브릿센트 쪽지보내기 메일보내기 홈페이지 자기소개 아이디로 검색 전체게시물 5 2025-10-21
7106 no_profile JJTherapy 쪽지보내기 메일보내기 자기소개 아이디로 검색 전체게시물 6 2025-10-21
7105 no_profile 노란병아리 쪽지보내기 메일보내기 자기소개 아이디로 검색 전체게시물 7 2025-10-21
7104 no_profile CJEXP 쪽지보내기 메일보내기 자기소개 아이디로 검색 전체게시물 6 2025-10-21
7103 no_profile Happymoveuk 쪽지보내기 메일보내기 자기소개 아이디로 검색 전체게시물 6 2025-10-21
7102 no_profile 하나로익스프레스 쪽지보내기 메일보내기 자기소개 아이디로 검색 전체게시물 7 2025-10-21
7101 no_profile EUROPARCEL 쪽지보내기 메일보내기 홈페이지 자기소개 아이디로 검색 전체게시물 7 2025-10-21
7100 no_profile 한진택배런던 쪽지보내기 메일보내기 자기소개 아이디로 검색 전체게시물 6 2025-10-21
7099 no_profile tabacco 쪽지보내기 메일보내기 자기소개 아이디로 검색 전체게시물 9 2025-10-21
7098 no_profile 아톡 쪽지보내기 메일보내기 자기소개 아이디로 검색 전체게시물 7 2025-10-21
열람중 no_profile 연세굿데이치과 쪽지보내기 메일보내기 자기소개 아이디로 검색 전체게시물 17 2025-10-21
7096 no_profile bigarette7 쪽지보내기 메일보내기 자기소개 아이디로 검색 전체게시물 13 2025-10-21
7095 no_profile 베이스갓 쪽지보내기 메일보내기 자기소개 아이디로 검색 전체게시물 22 2025-10-21
7094 no_profile 중경삼림 쪽지보내기 메일보내기 자기소개 아이디로 검색 전체게시물 23 2025-10-21
7093 no_profile K엔터 쪽지보내기 메일보내기 자기소개 아이디로 검색 전체게시물 29 2025-10-20
7092 no_profile 브릿센트챌린지 쪽지보내기 메일보내기 자기소개 아이디로 검색 전체게시물 25 2025-10-20
게시물 검색
내가 쓴 글 보기
구인구직
구인/구직
과외/레슨
서비스광고