●영국사랑 공식 협력병원, 연세굿데이치과● 개방교합 턱관절교정 치료전후 – 트랙션 유지
페이지 정보
작성자본문
● 담당과 : 구강외과 + 교정과
● 치료요약 : 턱관절교정을 통한 개방교합 개선, 트랙션 유지
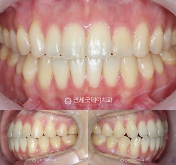
턱관절교정을 주소로 내원해주신 20대 여성 환자분이십니다.
편안하게 물었을 때 어금니만 교합되고,
앞니가 뜨는 개방교합이 관찰됩니다.
턱관절의 퇴행성관절염은
10대 중후반~ 20대 초반의 여성에게 많이 나타납니다.
자연치유되는 경우도 간혹 있지만
시간이 지나면서 개방교합으로 이어지는 경우도 많이 있습니다.
환자분은 과거 턱관절 디스크탈출증으로 인해
타원에서 보톡스와 스플린트 치료를 받으신 경험이 있으셨기에 이러한 부분을 고려하여 심층적인 정밀검진을 실시하였는데요.
퇴행성관절염은 멈춘 상태였으나
턱이 많이 불안정하여 스플린트(CRS) 재치료를 통해
턱관절교정을 먼저 시행한 뒤,
개방교합을 개선하는 치료계획을 수립했습니다.
---------------------------
▶ Check Point
턱관절이 안정화되지 않은 상태에서
개방교합 교정을 진행하면
오히려 턱관절 질환이 악화될 수 있으므로
구강외과와 교정과 협진을 통해 턱관절교정이 선행되어야 합니다.
---------------------------
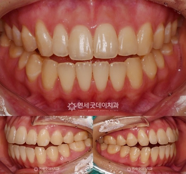
최근 약 2년 간의 인비절라인 교정을 마치셨습니다.
긴 치료과정이었지만 개방교합이 닫히고,
어금니부터 앞니까지 잘 맞물리는
완전한 교합이 형성되어 환자분께서도 높은 만족도를 드러내셨습니다.
또한 비발치 교정이었음에도 불구하고
개방교합이 개선되면서 자연스러운 입매와
스마일라인으로 인상도 밝아졌습니다.
환자분은 이미 한번의 재발 경험이 있었기 때문에
재발을 줄이고 치료효과를 오래 유지하기 위해
트랙션 장치로 유지관리를 진행하기로 하였습니다.
연세굿데이는 세브란스와 동일한 프로토콜로
턱관절교정과 개방교합 치료 노하우가 많이 있으니
불편한 부위가 있으시다면 편안하게 문의주시길 바랍니다. ^^
※모든 사진은 환자의 동의를 얻어 동일조건에서 촬영하였습니다.
개인의 차이에 따라 치료 후 부작용이 발생할 수 있으므로 전문의와 충분한 상담이 필요합니다.
※ 치료전후 촬영시기
(전) 2022년 11월 (후) 2025년 8월
---------------------------------
▶ 홈페이지 : https://www.gooddaysmile.com/
▶ 카톡상담 : http://pf.kakao.com/_xmxlhaxb/chat
● 치료요약 : 턱관절교정을 통한 개방교합 개선, 트랙션 유지
턱관절교정을 주소로 내원해주신 20대 여성 환자분이십니다.
편안하게 물었을 때 어금니만 교합되고,
앞니가 뜨는 개방교합이 관찰됩니다.
턱관절의 퇴행성관절염은
10대 중후반~ 20대 초반의 여성에게 많이 나타납니다.
자연치유되는 경우도 간혹 있지만
시간이 지나면서 개방교합으로 이어지는 경우도 많이 있습니다.
환자분은 과거 턱관절 디스크탈출증으로 인해
타원에서 보톡스와 스플린트 치료를 받으신 경험이 있으셨기에 이러한 부분을 고려하여 심층적인 정밀검진을 실시하였는데요.
퇴행성관절염은 멈춘 상태였으나
턱이 많이 불안정하여 스플린트(CRS) 재치료를 통해
턱관절교정을 먼저 시행한 뒤,
개방교합을 개선하는 치료계획을 수립했습니다.
---------------------------
▶ Check Point
턱관절이 안정화되지 않은 상태에서
개방교합 교정을 진행하면
오히려 턱관절 질환이 악화될 수 있으므로
구강외과와 교정과 협진을 통해 턱관절교정이 선행되어야 합니다.
---------------------------
최근 약 2년 간의 인비절라인 교정을 마치셨습니다.
긴 치료과정이었지만 개방교합이 닫히고,
어금니부터 앞니까지 잘 맞물리는
완전한 교합이 형성되어 환자분께서도 높은 만족도를 드러내셨습니다.
또한 비발치 교정이었음에도 불구하고
개방교합이 개선되면서 자연스러운 입매와
스마일라인으로 인상도 밝아졌습니다.
환자분은 이미 한번의 재발 경험이 있었기 때문에
재발을 줄이고 치료효과를 오래 유지하기 위해
트랙션 장치로 유지관리를 진행하기로 하였습니다.
연세굿데이는 세브란스와 동일한 프로토콜로
턱관절교정과 개방교합 치료 노하우가 많이 있으니
불편한 부위가 있으시다면 편안하게 문의주시길 바랍니다. ^^
※모든 사진은 환자의 동의를 얻어 동일조건에서 촬영하였습니다.
개인의 차이에 따라 치료 후 부작용이 발생할 수 있으므로 전문의와 충분한 상담이 필요합니다.
※ 치료전후 촬영시기
(전) 2022년 11월 (후) 2025년 8월
---------------------------------
▶ 홈페이지 : https://www.gooddaysmile.com/
▶ 카톡상담 : http://pf.kakao.com/_xmxlhaxb/chat
비추천0
댓글목록
등록된 댓글이 없습니다.






내가 쓴 글 보기


