●영국사랑 공식 협력병원, 연세굿데이치과● 초등학생 부정교합 치료전후 (반대교합, 프리올소) > 서비스광고

본문 바로가기

 <  구인구직  <  서비스광고

●영국사랑 공식 협력병원, 연세굿데이치과● 초등학생 부정교합 치료전후 (반대교합, 프리올소)

페이지 정보

작성자 no_profile 연세굿데이치과 쪽지보내기 메일보내기 자기소개 아이디로 검색 전체게시물  (14.♡.235.230) 댓글 0건 조회 15회 작성일 25-10-29 09:06

본문

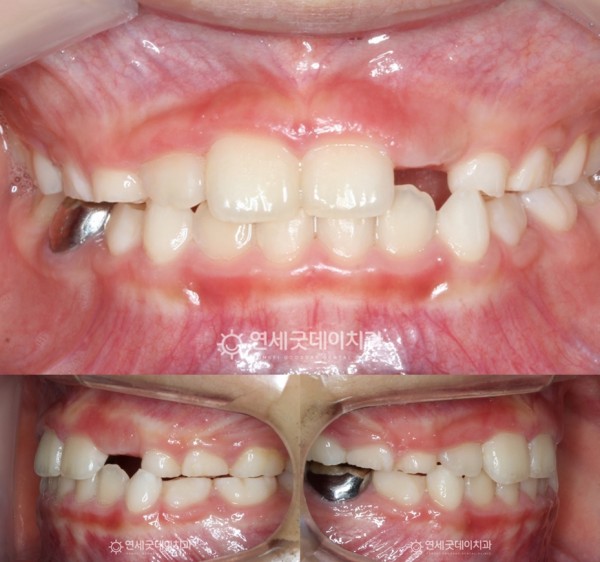
반대교합을 주소로 내원한 초등 2학년 남아입니다.

위 어린이는 턱뼈의 골격적인 문제가 발생하면서
아랫니와 윗니가 반대로 물리는 부정교합이 관찰되었습니다.

단순한 치아 배열의 문제라면
영구치가 거의 다 맹출한
12~13세에 치료를 시작해도 되지만,
이처럼 부정교합의 양상이 골격적인 문제라면
만 7세 정도부터 교정검진을 통해
치료시기를 결정하는 게 좋습니다.

아이는 아랫니가 거꾸로 깊게 물리는
심한 반대교합으로 성장기 교정에만 적용할 수 있는
프리올소를 이용한 치료계획을 수립했습니다.


프리올소는 치아 배열뿐 아니라
턱 성장 방향을 유도해 올바른 얼굴 균형을 잡아주고,
구강호흡, 혀 내밀기 등 구강 습관 교정에도 효과적입니다.
무엇보다 실리콘 재질이기 때문에
브라켓 교정보다 편안하고 아이들도 적응을 빨리하는 편입니다.

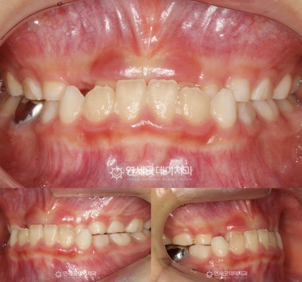
약 11개월 간의 프리올소 치료를 통해
턱 성장이 올바르게 유도되면서
거꾸로 물리던 치아가 정상교합을 되찾았습니다.
더불어 얼굴의 균형을 잡아줌으로써
한층 자연스럽고 아이의 외모적인 자신감도 회복하였습니다.

성장이 끝난 성인은 시간이나 비용적으로
더 큰 기회비용이 들 수 밖에 없습니다.
자녀에게 반대교합과 같은 부정교합이 관찰된다면,
골든타임을 잘 맞춰서 교정치료만으로 효과적인 결과를 얻으시면 좋겠습니다.


치료 받으시느라 고생 많으셨습니다. ^^
 

※ 모든 사진은 환자 본인의 동의를 얻어
동일조건에서 촬영하였으며
개인의 차이에 따라 치료 후 부작용이 발생할 수 있으므로
전문의와 충분한 상담이 필요합니다.

※ 치료전후 촬영시기
2024년 9월 / 2025년 8월

---------------------------------

▶ 홈페이지 : https://www.gooddaysmile.com/
▶ 카톡상담 : http://pf.kakao.com/_xmxlhaxb/chat
비추천0
  • 트위터로 보내기
  • 페이스북으로 보내기

댓글목록

등록된 댓글이 없습니다.

Total 7,140건 1 페이지
서비스광고 목록
번호 제목 글쓴이 조회 날짜
공지 운영자 쪽지보내기 메일보내기 홈페이지 자기소개 아이디로 검색 전체게시물 2211 2024-04-17
7139 no_profile bigarette7 쪽지보내기 메일보내기 자기소개 아이디로 검색 전체게시물 4 2025-10-29
열람중 no_profile 연세굿데이치과 쪽지보내기 메일보내기 자기소개 아이디로 검색 전체게시물 16 2025-10-29
7137 no_profile KOREX 쪽지보내기 메일보내기 자기소개 아이디로 검색 전체게시물 23 2025-10-29
7136 no_profile EUROPARCEL 쪽지보내기 메일보내기 홈페이지 자기소개 아이디로 검색 전체게시물 21 2025-10-29
7135 no_profile 중경삼림 쪽지보내기 메일보내기 자기소개 아이디로 검색 전체게시물 24 2025-10-29
7134 no_profile 노란병아리 쪽지보내기 메일보내기 자기소개 아이디로 검색 전체게시물 29 2025-10-28
7133 no_profile 현지PC매니저 쪽지보내기 메일보내기 홈페이지 자기소개 아이디로 검색 전체게시물 33 2025-10-28
7132 no_profile CJEXP 쪽지보내기 메일보내기 자기소개 아이디로 검색 전체게시물 22 2025-10-28
7131 no_profile KIB보험 쪽지보내기 메일보내기 자기소개 아이디로 검색 전체게시물 23 2025-10-28
7130 no_profile Happymoveuk 쪽지보내기 메일보내기 자기소개 아이디로 검색 전체게시물 26 2025-10-28
7129 no_profile K엔터 쪽지보내기 메일보내기 자기소개 아이디로 검색 전체게시물 30 2025-10-28
7128 no_profile JJTherapy 쪽지보내기 메일보내기 자기소개 아이디로 검색 전체게시물 27 2025-10-28
7127 no_profile 하나로익스프레스 쪽지보내기 메일보내기 자기소개 아이디로 검색 전체게시물 27 2025-10-28
7126 no_profile optimal1 쪽지보내기 메일보내기 홈페이지 자기소개 아이디로 검색 전체게시물 25 2025-10-28
7125 no_profile DUXGLOBALSERVIC… 쪽지보내기 메일보내기 홈페이지 자기소개 아이디로 검색 전체게시물 30 2025-10-28
7124 no_profile 아톡 쪽지보내기 메일보내기 자기소개 아이디로 검색 전체게시물 29 2025-10-28
7123 no_profile 한진택배런던 쪽지보내기 메일보내기 자기소개 아이디로 검색 전체게시물 35 2025-10-28
7122 no_profile bigarette7 쪽지보내기 메일보내기 자기소개 아이디로 검색 전체게시물 36 2025-10-28
7121 no_profile KOREX 쪽지보내기 메일보내기 자기소개 아이디로 검색 전체게시물 41 2025-10-28
게시물 검색
내가 쓴 글 보기
구인구직
구인/구직
과외/레슨
서비스광고