●영국사랑 공식 협력병원, 연세굿데이치과● 하악 골융기(토러스, torus) 제거, 치조골성형술 치료전후
페이지 정보
작성자본문
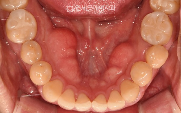
하악골융기가 신경쓰이고
불편하다는 주소로
내원해주신 30대 남성분이십니다.
환자분은 하악골융기 하방으로
음식물이 많이 끼고 신경쓰이는 듯한
불편함을 호소하셨으며
혀 밑으로 양쪽에 크기가 큰 토러스가 관찰되었습니다.
토러스는 씹는 힘에 보상하기 위해
뼈가 자라나는 현상입니다.
임상적으로 문제가 있는 것은 아니지만
하악골융기가 생긴 부위는
뼈가 두껍고 단단하기 때문에
음식물이 많이 끼고
특히 틀니나 교정기 같은
보철 장치를 사용하는 경우에는
더욱 불편할 수 있습니다.
환자분은 치조골성형술을 통해
양쪽 토러스를 제거하는
치료계획을 수립하였습니다.
하악골융기 제거 직후로,
울퉁불퉁한 골융기가 제거되고
잘 아물수 있도록 깔끔히 봉합해드렸으며
10일 후 경과체크를 위해 내원하셨을 땐
토러스 제거부위가 잘 아물고 있었습니다.
대부분 1~2주 내로 완전히 힐링되어
매끈한 잇몸으로 회복하실 수 있답니다.
하악골융기는 자극에 의해
뼈가 자라는 것으로
씹는 힘이 강하다면 누구에게나
나타날 수 있는 정상반응입니다.
무조건 토러스를 제거해야 하는 것은 아니지만,
토러스로 인해 음식물이 껴서 불편하시거나
틀니나 보철이 맞지 않는 경우
통증이 있는 경우 등에는
치조골성형술을 고려해보시길 바랍니다. ^^
---------------------------------
※ 모든 사진은 환자 본인의 동의를 얻어
동일조건에서 촬영하였으며
개인의 차이에 따라 치료 후 부작용이 발생할 수 있으므로
전문의와 충분한 상담이 필요합니다.
※ 치료전후 촬영시기
2025년 10월 / 2025년 11월
---------------------------------
▶ 홈페이지 : https://www.gooddaysmile.com/
▶ 카톡상담 : http://pf.kakao.com/_xmxlhaxb/chat
불편하다는 주소로
내원해주신 30대 남성분이십니다.
환자분은 하악골융기 하방으로
음식물이 많이 끼고 신경쓰이는 듯한
불편함을 호소하셨으며
혀 밑으로 양쪽에 크기가 큰 토러스가 관찰되었습니다.
토러스는 씹는 힘에 보상하기 위해
뼈가 자라나는 현상입니다.
임상적으로 문제가 있는 것은 아니지만
하악골융기가 생긴 부위는
뼈가 두껍고 단단하기 때문에
음식물이 많이 끼고
특히 틀니나 교정기 같은
보철 장치를 사용하는 경우에는
더욱 불편할 수 있습니다.
환자분은 치조골성형술을 통해
양쪽 토러스를 제거하는
치료계획을 수립하였습니다.
하악골융기 제거 직후로,
울퉁불퉁한 골융기가 제거되고
잘 아물수 있도록 깔끔히 봉합해드렸으며
10일 후 경과체크를 위해 내원하셨을 땐
토러스 제거부위가 잘 아물고 있었습니다.
대부분 1~2주 내로 완전히 힐링되어
매끈한 잇몸으로 회복하실 수 있답니다.
하악골융기는 자극에 의해
뼈가 자라는 것으로
씹는 힘이 강하다면 누구에게나
나타날 수 있는 정상반응입니다.
무조건 토러스를 제거해야 하는 것은 아니지만,
토러스로 인해 음식물이 껴서 불편하시거나
틀니나 보철이 맞지 않는 경우
통증이 있는 경우 등에는
치조골성형술을 고려해보시길 바랍니다. ^^
---------------------------------
※ 모든 사진은 환자 본인의 동의를 얻어
동일조건에서 촬영하였으며
개인의 차이에 따라 치료 후 부작용이 발생할 수 있으므로
전문의와 충분한 상담이 필요합니다.
※ 치료전후 촬영시기
2025년 10월 / 2025년 11월
---------------------------------
▶ 홈페이지 : https://www.gooddaysmile.com/
▶ 카톡상담 : http://pf.kakao.com/_xmxlhaxb/chat
비추천0
댓글목록
등록된 댓글이 없습니다.






내가 쓴 글 보기


